Lacivert renkli ve altı çizili kelimeler tıklandığında o konu ile ilgili bilgilere ulaşılacaktır.
Kan testleri (TSH, tiroit hormonları, tiroit antikorları, kanser belirteçleri)
Tiroidi görüntüleme yöntemleri (Tiroit ultrasonu, Tiroit sintigrafisi)
AÇIKLAMALAR
Tiroit hastalıklarının tanısında kullanılan yöntemler bir kaç grup altında incelenebilir;
1-Kan Testleri: Bu grupta Tiroit işlevini gösteren testler, tiroit antikorları ve kanser belirteçleri olmak üzere üç ayrı test yapılabilmektedir. testleridir.
2-Tiroidi görüntüleme yöntemleri: Bu yöntemler içinde tiroit ultrasonu ve tiroit sintigrafisi en sık başvurulanlardır. Bunun yanında bilgisayarlı tomografi, MR ve PET ancak özel durumlarda kullanılır.
3- Tiroit biyopsisi: Temel amacı ameliyattan önce hastada kanser olup olmadığının belirlenmesidir.
Bunun için tiroit ince iğne biyopsisi kullanılır.
Ender olarak tiroit kalın iğne biyopsisine de (Tru-cut biyopsi) gereksinim olabilir.
Ayrıca kimi durumlarda ameliyat sırasında tanı konması amacıyla dondurma yöntemi (Frozen inceleme) de kullanılmaktadır. Bu yöntemlerden hangisinin ya da hangilerinin kullanılacağı ya da bunların hangi sıra ile yapılması gerektiğini belirleyen faktörlerin en önemlileri; hastadan alınan öykü ve hastanın ayrıntılı muayenesidir. Böylece hastayı gereksiz yere strese sokmadan gerekli tetkiklerin yapılması sağlanabilir.
KAN TESTLERİ
Lacivert renkli ve altı çizili kelimeler tıklandığında o konu ile ilgili bilgilere ulaşılacaktır.
Tiroidin işlevini gösteren kan testleri
TSH ölçümü
T3 ve T4 ölçümü
Tiroit antikorları
Tiroit kanser belirteçleri
TİROİDİN İŞLEVİNİ (ÇALIŞMASINI) GÖSTEREN KAN TESTLERİ
TSH ölçümü
Genel olarak bakıldığında tiroidin işlevini gösteren temel test TSH düzeyidir ve tiriodin işlevini gösteren tarama testi olarak da kullanılabilir. Bir bireyde TSH normalse büyük olasılıkla bu hastanın tiroidi normal çalışıyor denebilir ve genellikle T3 ve T4 hormonlarının düzeyi de normaldir ve bunların ölçülmesine çoğu zaman gereksinim duyulmaz. Diğer yandan TSH normalden fazla ya da azsa tiroidin işlevinin ne durumda olduğunu belirlemek için tiroit hormon düzeyinin ölçülmesi gerekir.
T3 ve T4 ölçümü
Tiroitte üretilen ve kana geçen T3 ve T4 hormonlarının büyük bir bölümü kanda bir proteine bağlı olarak dolaşır. Hormonların az bir kısımı ise serbest halde dolaşır ve bunlara serbest T3 (sT3 yada FT3), serbest T4 (sT4 yada FT4) adı verilir. Bağlı ve serbest kısımların toplamı ise toplam (total) T3, T4 yada sadece T3 ve T4 olarak adlandırılır. Bunlar içinde tanıya en çok yardımcı olan FT4 testidir. Ancak bazı durumlarda T3 hormon ölçümü de gerekebilir.
TİROİT ANTİKORLARI
Vücudun savunma sistemi, bazen tiroide ait yapılardan herhangi birine karşı antikor adı verilen maddeler üretebilir. Bunlar içinde en önemlileri Anti Tg antikor, Anti TPO antikor ve Anti TSHR antikordur. Anti TSHR antikorunun tiroidi uyaran ya da tam tersi işlevini azaltabilen iki tipi vardır. Tiroidi uyaranlar, uyarıcı antikor diğer grup ise baskılayıcı antikor adını alır. Uyarıcı antikorun varlığı tiroidin fazla çalışmasına (hipertiroidi) yani T3, T4 hormonlarının fazla yapılmasına, baskılayıcı antikorlar ise tiroidin az çalışmasına (hipotiroidi) yol açarlar. Az ya da fazla çalışan guatrlarda bu antikorlarda yükselme saptanması hastalık tanısının konmasına yardım edebilir. Örneğin Graves hastalığında uyarıcı antikor yüksek bulunabilir.
Anti TPO antikoru ise başta Hashimoto hastalığı olmak üzere tiroidin diğer otoimün hastalıklarında yükselir. Bu hastalıklarda Anti Tg antikor düzeyi de artabilir, ancak hastalıkların ayırt edici tanısında çok fazla yardımcı olmaz.
KANSER BELİRTEÇLERİ
Bu konuda en sık kullanılan testler kan tiroglobulin ve kalsitonin düzeyleridir. Bunlarla ilgili geniş bilgiler tiroit kanserleri konusunda değinilen tarama testlerinde verilmiştir.
TİROİDİ GÖRÜNTÜLEME YÖNTEMLERİ
Lacivert renkli ve altı çizili kelimeler tıklandığında o konu ile ilgili bilgilere ulaşılacaktır.
Giriş
Tiroit ultrasonu
Tiroit ultrasonunda tiroit kanser riski bulguları
Tiroit sintigrafisi
Sıcak ve soğuk nodül kavramı
GİRİŞ
Tiroidin büyüklüğü ve nodül içerip içermediğinin belirlenmesi, bazen de tiroidin işlevinin saptanabilmesini sağlayan yöntemlerdir. bu yöntemelerden en sık kullanılanları tiroit ultrasonografisi ve tiroit sintigrafisidir. Bilgisayarlı tomografi (BT) ve manyetik rezonans (MR), tiroit ve yandaş organlar hakkında önmeli bilgiler vermesine karşın ancak gerektiğinde kullanılır. PET-BT adı verilen yönteme ise çok özel durumlarda başvurulur.
TİROİT ULTRASONU
Ultrason, ses dalgaları ve bilgisayar teknolojisinden faydalanılarak geliştirilmiş kolaylıkla uygulanabilen, zararsız ve ucuz bir yöntemdir. Tirodin boyutlarını hatta ağırlığının saptayabilen, nodül olup olmadığını ve varsa nodülün tipini ve özelliklerini gösterebilen bir yöntemdir. Ayrıca renkli doppler ultrason tiroidin ve/veya nodüllerdeki kan akımının ölçülmesine olanak sağlar.
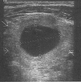
Ultrasonda nodülün içi tamamen sıvı ile dolu ise kistik nodül (şekil 1), tiroit kaynaklı doku ile dolu ise katı nodül (solit nodül) (şekil 2), hem doku hemde sıvı içeriyorsa karışık nodül (mikst nodül) (şekil 3) adını alır.
Şekil 1: Kistik nodül ![]() | Şekil 2: Katı nodül ![]() | Şekil 3: Karışık nodül ![]() |
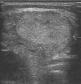
Ultrasonda tiroit kanser riski bulguları: Çapı 2.5-3cm'den büyük olan katı (Şekil 4) ya da karışık nodüller, çapı 4cm'den büyük kistik nodüller, kenarları düzensiz (Şekil 5) ve/veya içinde küçük kireçlenme odakları bulunan nodüller (Şekil 6), içinde ve etrafında kan akımı artmış olan nodüller ve izlemler sırasında büyüyen nodüller riskli nodüllerdir. Bunlardan bir kaçının beraber bulunması riski arttırır.
Fazla çalışan bir nodül (toksik nodül) varlığına da nodül ve çevresinde kan akımı artmış olabilir. Diğer yandan tiroitte yaygın olarak kan akımının fazla olduğunun saptanması, Graves hastalığı ya da Hashimoto hastalığı için bir gösterge olabilir (Şekil 7).
Şekil 4 ![]() | Şekil 5 ![]() | Şekil 6 ![]() | Şekil 7 ![]() |
TİROİT SİNTİGRAFİSİ
Sintigrafi atomların bazı özelliklerinden yararlanılarak geliştirilmiş bir yöntemdir. Örneğin radyoaktif iyot ve radyoaktif teknezyum gibi atomlar tiroit tarafından tutulur ve tiroitten gama ışını adı verilen bir radyasyon tipi yayarlar. Bir hastaya, adı geçen bu atomlardan biri verilirse, bu madde tiroitte toplanıp gama ışını yaymaya başlar. Bu ışınlar gama kamera gibi özel bir algılayıcı tarafından yakalanıp bir fotograf kağıdına ya da ekrana düşürüldüğünde tiroidin şekli görünür. Tanı amaçlı tiroit sintigrafisi için yaygın olarak kullanılan madde teknezyum'dur. Çünkü radyoaktif iyotun bazı türlerinin elde edilmesi ve saklanması zorken, bazıları ise fazla radyasyon yayar.
Kamera tarafından algılanan ışının miktarı tiroidin bu maddeyi tutma miktarı olarak da tanımlanabilir. Tiroit, bu maddeyi normalde belli değer ve yoğunlukta tutar. Örneğin tiroidin tamamı düzgün bir şekilde maddeyi tutmuş ve büyük görülüyorsa düzgün büyümüş guatr söz konusudur. Ancak tuttuğu madde miktarı belli bir düzeyin üstündeyse fazla çalışan guatr olasılığı çok yüksektir (şekil 8).
Şekil 8: Tirodin tamamında maddenin fazla tutulması.

Soğuk nodül, sıcak nodül kavramı : Tiroidin sınırlı bir bölgesi verilen radyoaktif maddeyi çok az tutmuşsa bu bölge hipoaktif alan (hipoaktif nodül), hiç madde tutmamışsa soğuk alan (soğuk nodül) olarak değerlendirilir. Buna karşın sınırlı bir bölgede normalden fazla tutulum varsa, o bölge sıcak alan (sıcak nodül) adını alır (şekil 9). Soğuk ve hipoaktif nodüllerde kanser riskinin sıcak nodüllerden biraz daha fazla olduğu kabul edilir. Tiroidin iltihabi hastalıklarının çoğunda ise tiroit maddeyi genel olarak normalden çok daha az tutar.
Şekil 9 : Sıcak ve soğuk nodüller.

TİROİT İNCE İĞNE BİYOPSİSİ
Lacivert renkli ve altı çizili kelimeler tıklandığında o konu ile ilgili bilgilere ulaşılacaktır.
Giriş
İnce iğne biyopsisinin yapılma kriterleri
İnce iğne biyopsisinin olası sonuçları
GİRİŞ
Bir doku ya da organdan, incelenmek üzere, çeşitli yöntemlerle bir parçanın alınması biyopsi olarak adlandırılır. İnce iğne biyopsisi bu yöntemlerden birisidir ve tiroitte nodülü olan hastalarda nodülün iyi huylu (benign) ya da kötü huylu (malign) diğer bir deyişle kanser olup olmadığını belirleyebilen faydalı bir yöntemdir. Bu yöntem, tiroitteki bir nodüle ya da nodüllerden bir kaçına ince iğne ile girilerek, hücre gruplarının alınması ve bunların incelenmesi yöntemidir.
İnce iğne biyopsisi yapılma kriterleri: Genel olarak bakıldığında İnce iğne biyopsisinin mutlaka yapılması gerektiğine inanılan hastaların iki grup altında toplandığı görülür.
1cm-2.5cm çaplı tek nodülü olan, ultrasonda risk sınıfına giren veya risk faktörü taşıyan hastalar,
2,5 cm'den büyük tüm katı nodüller,
1cm'den küçük tek nodül olmakla beraber ultrasonda belirgin risk sınıfına giren ve risk faktörü taşıyan hastalar (Bu konuda tam bir fikir birliği olduğu söylenemez).
Ancak 3-4 cm'den büyük katı (solit) ve karışık (mikst) tek nodül için ameliyat düşünülüyorsa ince iğne biyopsisi yerine ameliyat sırasında dondurma yöntemi (frozen section) tekniğine de baş vurulabilir.
İnce iğne biyopsisinde asıl sorun birden fazla nodülü olan hastalardır. Bu hastalarda genel kabul gören durum, en büyük nodüle (baskın nodül) ve şüpheli görülen nodüllere ince iğne biyopsisi yapılmasıdır. Bu konu da tartışmaya açıktır. Örneğin 1cm'den büyük ya da 1cm'den küçük olupta süpheli olan nodül sayısı birden fazla ise ne yapılmalıdır? Teorik olarak çok sayıda nodüle biyopsi yapılabilir, ancak işlemin süresi ve hastaya vereceği tedirginlik (stres) göz önüne alındığında, kanımca en fazla 3 ayrı nodüle biyopsi yapılması yeterlidir. Diğer yandan bu nodüller dışında kalan nodüllerin herhangi birinde rastlantısal kanser olma riski de vardır. Sonuç olarak çoklu nodülü olan hastalarda biyopsinin her zaman aydınlatıcı olabileceğini söylemek oldukça güçtür. Dolayısıyla özellikle risk faktörleri olan çoklu nodüllerde biyopsi yapılmadan ameliyat seçeneği de göz önünde bulundurulmalıdır.
İNCE İĞNE BİYOPSİSİNİN OLASI SONUÇLARI
NOT: Aşağıda verilen sonuçların biyopsiyi yapan ve inceleyen hekimlerin bu konuda deneyimli olmaları durumunda geçerli olacağını hatırlatmakta yarar vardır. İğne biyopsisi sonucunda 4 ayrı durumla karşı karşıya gelinebilir.
Yetersiz örnekleme olarak rapor edilenler (kategori 1): Alınan örnekte yeterli hücre bulunmaması durumu olup tekrar yapılması gerekebilir. Hastanın işlem için tekrar tekrar gidip gelmesinin önlenmesi için örneği alan hekim ile örneği inceleyen patoloğun işlem sırasında beraber bulunmaları tercih edilen bir durumdur.
İyi huylu olarak rapor edilenler (katergori2): Özellikle 1.5-2 cm'den küçük nodüllerde doğruluk oranı çok yüksektir. Genel olarak %5 oranında yanıltıcı olabilir.
Ayırım yapılamayanlar (kategori 3 ve 4): Bu gruba iyi ya da kötü huylu ayırımı yapılamayan biyopsiler girer. Hastanın durumuna göre ya biyopsi tekrarlanır, ya da kanser riski faktörleri varsa hasta ameliyat edilir. Bu faktörler klinik kanser riski ve ultrasonda kanser riski faktörleridir.
Şüpheli Kötü huylu ya da kötü huylu olarak rapor edilenler (kategori 5 ve 6): Katergori 5'de Doğruluk payı % 60-75, kategori 6'da daha yüksektir (% 75-99)
NOT: Görüldüğü gibi ince iğne biyopsisi her hastada %100 oranıda tanı koydurmayabilir. Hastaların hekim tarafından bu yönde uyarılmaları uygun bir yaklaşımdır.
GENETİK ÇALIŞMALAR
Tiroit kanserlerinin bazı tiplerinde genetik değişimin (mutasyon) hangi gende olduğu belirlenmiştir. Bu mutasyonlar çeşitli yöntemlerle saptanabilmektedir. Bu değişimlerden önemli olan birkaçı tiroit kanserleri konusunda genetik testler başlığı altında anlatıldığından burada değinilmeyecektir.









